|
Breast Clinic Information
The aim of my breast clinic is to provide the highest quality diagnostic service to patients with breast complaints, ranging from simple benign problems to breast cancer. Urgent referrals from GPs are nearly always seen within a week. Each patient is assessed and treated individually with a full complement of specialised staff, modern equipment, and state-of-the-art services. The following summarises the various aspects of care offered at the clinic. Breast care nurses are always available.
Out-Patient Clinic Pathway
Patients with breast lumps, pain, discharge and other breast symptoms are seen in a ‘one-stop clinic’. Initially, I see patients and take a detailed history before an examination. Most patients then undergo breast imaging. Imaging usually involves mammograms, ultrasound scans, or both. Once all the scans have been reported by the Consultant Radiologist, the patient will see me again and receive the results on the same day. If any abnormality is detected, it may be necessary to perform further investigations, such as a biopsy. Biopsies are also usually performed on the same day, although biopsy results take a few days. In this way, a diagnosis can be established in a single visit for most women attending the clinic, since most patients do not require biopsies. A specialist Breast Care Nurse is also present to give further information and support to the patient, if desired. She will also chaperone the patient during the examination.
The principal diagnostic tests are outlined below:
Digital Mammography

Digital mammography is a way of imaging the breast tissue and produces an X-ray called a mammogram. Each breast is compressed between two plastic plates while a beam of X-rays passes through the breast tissue onto an X-ray film.
Two different views of each breast are taken. The process may be slightly uncomfortable but only lasts a few seconds for most women. The mammograms are then immediately reported by the Breast Consultant Radiologist. The radiation dose is very small and does not pose a significant cancer risk.
Occasionally, more detail is required, especially if the breast tissues are dense. In this situation, tomosynthesis mammograms are arranged. This enables the radiologist to look at the breast in ‘slices’ in a similar way to a CT scan.
Ultrasound

Ultrasound machines use sound waves to image various areas of the body, including the breasts.
The sound waves are transmitted through a probe, which is placed directly over the breast. Lubricating gel is placed on the breast skin to improve contact. The sound waves are reflected within the breast back to the ultrasound machine, which transforms them into a computer image viewed on a display monitor.
The ultrasound examination is carried out by the Consultant Breast Radiologist, who decides whether any abnormalities are present. The test is very good at differentiating between solid lumps and fluid-filled lumps (cysts). It is particularly useful in women under the age of 40, since younger breasts are much denser; this means that abnormalities may be sometimes difficult to visualise on mammograms in this age-group. Ultrasound examination does not usually cause any pain.
Fine Needle Aspiration

This test is usually performed under ultrasound guidance and requires insertion of a small needle through the skin into the breast lump.
An attached syringe then withdraws fluid or cells from the lump.
Most usually, this is performed to drain breast cysts. After draining the cyst, it usually collapses, and the lump is no longer felt.
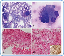
Core Biopsy

This test is performed under a local anaesthetic using a special needle to allow a larger number of cells to be examined by the Consultant Pathologist. It may cause more bruising than the fine needle test. It is usually performed under radiological guidance (i.e., during an ultrasound or mammogram).
Although the test often gives a definitive diagnosis, it takes a few days before a result is available due to laboratory processing.
Appearance of a breast core biopsy under the microscope.
Breast MRI

Breast MRI is a diagnostic test that is used to view your breast tissues using magnetic fields and radiowaves (not X-rays).
The armpit tissues can also be seen on the scans.
Most patients do not require a breast MRI. It is used to provide further information in a variety of specialised situations, such as looking for possible breast implant leak, measuring lobular cancers, or for checking response to chemotherapy. Sometimes, a contrast dye (gadolinium) needs to be injected into a vein in the arm during the scan. Multiple images are obtained and these are normally reviewed by two independent radiologists before a final report is issued.
Vacuum Biopsy
This refers to a type of biopsy when more breast tissue is taken than with a standard core biopsy. The procedure is carried out under local anaesthesia and most commonly performed under ultrasound guidance. Most lumps can be diagnosed with a normal core biopsy. However, sometimes the diagnosis under the microscope can be difficult to make. In this situation, a vacuum biopsy can be helpful to the pathologist. The vacuum refers to suction that takes place during the biopsy procedure, which helps reduce bruising.
Stereotactic Biopsy
This refers to a core biopsy or vacuum biopsy that takes place under stereotactic guidance, as opposed to ultrasound guidance. Stereotactic biopsies are performed with the patient positioned in the digital mammogram machine and under local anaesthesia. It is a particularly useful procedure in situations where the only abnormality seen on a mammograms is a cluster of fine calcifications (tiny white dots).
Marker Clips
During biopsies, the radiologist often inserts a tiny marker as a reference point. This is commonly performed when the abnormality seen is quite small. Should the pathology of the biopsy show that the area needs to be removed, the surgeon will have a marker to target for surgery. However, if the result is benign, the markers can be safely left alone.
|